{{List.biaotou.product_name}}{{List.biaotou.catalog_number}}

{{lbtIndex+1}}/{{List.img.length}}
{{cartemp[1]?'$'+cartemp[1]:'未选择'}}
产品尺寸
添加到购物车
添加到询价
添加关联产品
  • {{item.product_name}}

总价

${{glcp}}

加到购物篮
产品概览

产品名称

{{List.zonglan.product_name}}

货号

{{List.zonglan.catalog_number}}

批次

{{List.zonglan.lotno}}

产品概述

研究领域概述

{{List.chanwu.field_of_research}}

浓度

{{List.zonglan.concentration}}

应用

{{List.zonglan.application}}

蛋白信息

蛋白长度

{{List.danbai.protein_length}}

性质

{{List.danbai.nature}}

表达系统

{{List.danbai.expression_host}}

种属

{{List.danbai.species}}

氨基酸序列

{{List.danbai.aasequence}}

氨基酸

{{List.danbai.amino_acids}}

标签类型

{{List.all.tags}}

偶联

{{List.all.conjugate}}

分子量

{{List.all.molecular_weight}}

活性

{{List.all.activity}}

内毒素

{{List.all.endotoxin}}

等电点

{{List.all.Isoelectric_point}}

细胞定位

{{List.all.cellular_localization}}

抗体信息

宿主

{{List.kangti.host}}

种属反应性

{{List.kangti.species_reactivity}}

免疫原

{{List.kangti.Immunogen}}

特异性

{{List.kangti.specificity}}

靶点

{{List.kangti.target}}

交叉反应

{{List.kangti.cross_reactivity}}

阳性对照

{{List.kangti.positive_control}}

偶联物

{{List.kangti.conjugation}}

克隆号

{{List.kangti.clone}}

亚型

{{List.kangti.Isotype}}

纯化方法

{{List.kangti.purification}}

试剂盒信息

检测类型

{{List.shijihe.assay_type}}

检测方法

{{List.shijihe.detection_method}}

反应性

{{List.shijihe.reactivity}}

样本类型

{{List.shijihe.sample_type}}

灵敏度

{{List.shijihe.sensitivity}}

检测范围

{{List.shijihe.assay_range}}

试剂盒组份

{{List.shijihe.kit_components}}

其他需要试剂

{{List.shijihe.other_reagents_required}}

基因信息

通用名

{{List.gongneng.symbol}}

开放阅读框

{{List.gongneng.orf_size}}

启动子

{{List.gongneng.promoter}}

载体

{{List.gongneng.vector}}

标签

{{List.gongneng.tag}}

酶切位点

{{List.gongneng.restriction_sites}}

测序引物

{{List.gongneng.sequencing_primers}}

抗生素类型

{{List.gongneng.antibiotic}}

染色体定位

{{List.gongneng.chromosome_location}}

通路

{{List.gongneng.pathway}}

功能

{{List.gongneng.function}}

总结

{{List.gongneng.summary}}

细胞信息

机体来源

{{List.xibaoxinxi.organism}}

组织来源

{{List.xibaoxinxi.tissue}}

细胞类型

{{List.xibaoxinxi.cell_type}}

形态

{{List.xibaoxinxi.morphology}}

培养特性

{{List.xibaoxinxi.culture_properties}}

生长特性

{{List.xibaoxinxi.growth_properties}}

安全等级

{{List.xibaoxinxi.biosafety_level}}

疾病

{{List.xibaoxinxi.disease}}

年龄

{{List.xibaoxinxi.age}}

性别

{{List.xibaoxinxi.gender}}

种族

{{List.xibaoxinxi.ethnicity}}

细胞株

{{List.xibaoxinxi.strain}}

临床数据

{{List.xibaoxinxi.clinical_data}}

应用

{{List.xibaoxinxi.applications}}

核型

{{List.xibaoxinxi.karyotype}}

起源

{{List.xibaoxinxi.derivation}}

免疫学

{{List.xibaoxinxi.Immunology}}

指纹图谱

{{List.xibaoxinxi.fingerprint}}

STR鉴定

{{List.xibaoxinxi.dna_profile}}

同工酶

{{List.xibaoxinxi.Isoenzymes}}

细胞遗传学

{{List.xibaoxinxi.cytogenetics}}

受体表达

{{List.xibaoxinxi.receptor_expression}}

基因表达

{{List.xibaoxinxi.genes_expressed}}

抗原表达

{{List.xibaoxinxi.antigen_expression}}

注释

{{List.xibaoxinxi.comments}}

完全培养基

{{List.xibaoxinxi.complete_growth_medium}}

无菌检测

{{List.xibaoxinxi.sterility_tests}}

病毒检测

{{List.xibaoxinxi.viral_testing}}

活力

{{List.xibaoxinxi.viability}}

倍增传代能力

{{List.xibaoxinxi.populationdoubling}}

传代培养

{{List.xibaoxinxi.subculturing}}

冻存方式

{{List.xibaoxinxi.cryopreservation}}

培养条件

{{List.xibaoxinxi.culture_conditions}}

倍增传代时间

{{List.xibaoxinxi.population_doubling_time}}

捐赠者

{{List.xibaoxinxi.depositor}}

来源时间

{{List.xibaoxinxi.year_of_origin}}

传代历史

{{List.xibaoxinxi.passage_history}}

培养基信息

推荐于

{{List.peiyangji.recommended_for}}

培养基组份

{{List.peiyangji.medium_kit}}

成份

{{List.peiyangji.components}}

添加剂

{{List.peiyangji.supplemented_with}}

质控

{{List.peiyangji.quality_control}}

操作说明

{{List.peiyangji.Instructions}}

产品属性

形式

{{List.chanpinshuxing.form}}

浓度

{{List.chanpinshuxing.concentration}}

纯度

{{List.chanpinshuxing.purity}}

试剂准备

{{List.chanpinshuxing.preparation}}

复溶

{{List.chanpinshuxing.reconstitution}}

储存条件

{{List.chanpinshuxing.storage}}

储存溶液

{{List.chanpinshuxing.storage_buffer}}

应用

{{List.chanpinshuxing.application}}

稀释方法

{{List.chanpinshuxing.dilution}}

产品描述

{{List.chanpinshuxing.product_description}}

别名

{{List.chanpinshuxing.synonyms}}

研究领域

相关产品

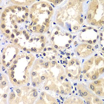
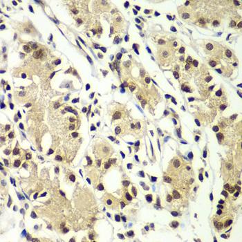
图片
参考文献
客户评论
  • {{item.user_name}}   {{item.Createtime}}
    {{item.content}}
    官方 回复:  {{item2.Createtime}}
    {{item2.content}}
选择图片
确认
Please Note: All products are "For Research Use Only. Not For Use In Diagnostic Procedures."
{{List.biaotou.product_name}}的替代产品
{{item.product_name}}
{{item.product_overview}}

最近浏览过的产品

全部清除
0.029756s